FieldStrength MRI magazine
When their Ingenia 3.0T was eight years old, Sannodai Hospital was interested in the newer Ingenia Elition X. The hospital opted for SmartPath to Ingenia Elition X: instead of buying a completely new system, it could retain their Ingenia magnet, while all other hardware and software was replaced. This alternative to buying a complete new system saves money and limits the downtime. Moreover, it gave clinicians the powerful Elition 3.0T platform, offering cutting‐edge MR imaging techniques.
This upgrade allowed us to already get a new high‐end MRI system and it presented a major advantage in shorter downtime as well as lower cost."

Dr. Mikio Makuuchi Chairman of Medical corporation Makuuchi-kai and Director of Sannodai Hospital.

Yoshihiro Otsu, RT Chief of Radiological department.
The ambition of Sannodai Hospital (Ishioka City, Japan) is to provide the most advanced medical service to its many patients with the goal of early diagnosis and treatment, especially in emergency care. When the hospital’s radiologists had enjoyed eight years of exceptional MRI scanning with their Ingenia 3.0T system, they began thinking about replacing that system in a few years. Then in 2021, they learned about SmartPath to Ingenia Elition X, the option to upgrade their MRI system to a high-end Elition X, keeping their existing magnet and getting new software and hardware, providing high levels of diagnostic confidence.
Hospital administrators and radiology department officials knew that – compared to a full system replacement – the SmartPath upgrade would save on the cost of the system itself and avoid cost related to exchanging the magnet. It would also reduce the downtime during which no patients can be scanned and no revenue is gained.
“The opportunity to choose SmartPath to Elition X came at just the right time,” says Mikio Makuuchi, MD, Chairman of the Medical Corporation Makuuchi-kai and Director of Sannodai Hospital. “This upgrade was attractive as it allowed us to already get a new high-end MRI system. Moreover, it presented a major advantage in shorter downtime as well as lower cost. Because the hospital has only one MRI system, the importance of short downtime was also stressed by doctors in other departments, particularly for 24/7 emergency care.” The MRI system also serves internal medicine, cardiology, neurology and other departments.
“We also anticipated that the system’s high-performance gradients would allow us to achieve better image quality and higher scanning speeds. Beyond that, the many features for improved workflow were attractive to support our technologists and save time,” Dr. Makuuchi says
The hospital began using its new Elition system in December of 2021. Since then, the system has exceeded the expectations of clinicians and technologists.

Sannodai Hospital
Some high resolution examinations that were not possible before due to long scan time, are now routinely performed with the upgraded system"

Sannodai Hospital radiologists had been very satisfied with their Ingenia 3.0T with Compressed SENSE, however after acquiring SmartPath to Elition X they have demonstrated improved image quality and even higher speeds in imaging studies throughout the body, according to Dr. Makuuchi. “Generally, we were impressed by seeing that images are very sharp and have higher SNR than we used to get with our Ingenia 3.0T system,” he notes. “We were delighted to see that high image quality can be obtained in a short time thanks to the Elition with its powerful An example of increased imaging speed is in knee studies. “There is a definite scan time reduction for T2* mFFE and proton density TSE – both of these sequences benefit from much shorter repetition times,” he reports.
gradients. Some high resolution examinations that were not possible before dueto their longer scan time, are now routinely performed with the upgraded system.”
As our hospital has many elderly patients, we consider it important to obtain high-quality data in a short time."
Dr. Mikio Makuuchi
Images showing a posterior cruciate ligament (PCL) tear, a detached medial collateral ligament (MCL) on the tibial side and an intact anterior cruciate ligament (ACL). SmartPath to Elition X helped reduce scan time compared to previous imaging while maintaining resolution.

Images showing a posterior cruciate ligament (PCL) tear, a detached medial collateral ligament (MCL) on the tibial side and an intact anterior cruciate ligament (ACL). SmartPath to Elition X helped reduce scan time compared to previous imaging while maintaining resolution.




Overall, imaging time per sequence has been reduced since the Elition X upgrade. This can help reduce the risk of patient movement and the need for rescans. “As our hospital has many elderly patients, we consider it important to obtain high-quality data in a short time,” Dr. Makuuchi says. “Shorter imaging times are also useful for accepting emergency patients, because faster emergency studies have a reduced impact on the daily examinations schedule. In emergency cases it is also important that high quality images are obtained in a short time.”
These images of an old cerebral infarction demonstrate the speed and image quality after upgrading to Elition X.

These images of an old cerebral infarction demonstrate the speed and image quality after upgrading to Elition X.



Crisp images are obtained with high resolution and short scan times using Elition X. A cyst can be seen.

Crisp images are obtained with high resolution and short scan times using Elition X. A cyst can be seen.



The Vega HP gradients enable us to scan faster and use b-values as high as 2000.”
Dr. Mikio Makuuchi
The high performance of the Vega HP gradients is particularly impressive in DWI. “The Vega HP gradients enable us to scan faster and use b-values as high as 2000, for example in prostate DWI and in DWIBS, which provides image quality that is remarkably improved over the previous system and we are able to more easily see lesions.”
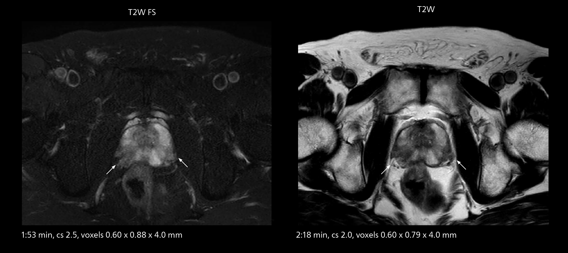
Examples of prostate imaging showing faster scan times and improved resolution illustrate the power of SmartPath to Elition X in this case of prostate cancer with PI-RADS score 4.

Examples of prostate imaging showing faster scan times and improved resolution illustrate the power of SmartPath to Elition X in this case of prostate cancer with PI-RADS score 4.



As a result of the increased speed and higher image quality, 3.0T DWIBS studies are now routine examinations.”
Dr. Mikio Makuuchi
The value of the Elition X gradients is also evident in DWIBS studies. “The fact that we can consistently obtain distortion‐free DWIBS while reducing imaging time at three coronal stations is excellent,” Dr. Makuuchi says. “In these patients, it’s also important that the application of Compressed SENSE to T2‐weighted, STIR and mDIXON sequences has no impact on the examination time of whole‐body imaging. As a result of the increased speed and higher image quality we realize, DWIBS studies have now become routine examinations.”
With SmartPath to Elition X the team can obtain excellent quality DWIBS imaging and reduce imaging time. Other sequences also fit in the examination slot. This case shows left paravertebral neurogenic tumor and Th10 vertebral hemangiomas.

With SmartPath to Elition X the team can obtain excellent quality DWIBS imaging and reduce imaging time. Other sequences also fit in the examination slot. This case shows left paravertebral neurogenic tumor and Th10 vertebral hemangiomas.


SmartPath to Elition X comes with Smart Workflow technologies that support technologists and can save them time. VitalEye for touchless patient sensing is one example. “The implementation of VitalEye respiratory synchronization has had a significant impact,” says MR technologist Yoshihiro Otsu, Chief of the Radiological Department. “It not only improves workflow, but it also has increased the quality of examinations. Particularly for the large number of MRCP examinations performed in this hospital, VitalEye has increased the possibility to obtain sharp images with less blurring. Clinicians here really appreciate this improvement in MRCP image quality.” The VitalScreen on the scanner has helped reduce the risk of patient misidentification. “It allows patient information to be viewed in the magnet room when standing next to the patient,” he says. “And the automated patient centering in the magnet is very useful as well.” Apart from reducing stress for technologists, Smart Workflow helps improve respiratory synchronization and reduce examination stress for the patient.

VitalEye has increased the possibility of obtaining sharp images with less blurring. Clinicians here really appreciate this improvement in MRCP image quality.”
Yoshihiro Otsu
With SmartPath to Elition X, the MRCP examinations at Sannodai Hospital benefit from VitalEye: respiratory synchronization is possible without respiratory belt positioning and image quality is excellent.

With SmartPath to Elition X, the MRCP examinations at Sannodai Hospital benefit from VitalEye: respiratory synchronization is possible without respiratory belt positioning and image quality is excellent.



The SmartPath option that made the Elition acquisition possible limited both our downtime and our costs.”
Dr. Mikio Makuuchi
Regarding patient support and comfort, the ComfortPlus mattress on the Elition system has made a significant impact, Dr. Makuuchi says. “We scan a lot of elderly patients here and this thick, soft mattress has made examinations more comfortable for them – and of course also for other patients. And relaxed patients are less likely to move, so that translates into enhanced examination quality. Many patients have provided good feedback on this mattress.”
Since upgrading its Ingenia 3.0T to Elition X in 2021, Dr. Makuuchi is more convinced than ever that Sannodai Hospital made the right move by choosing SmartPath to Elition X. “We are very satisfied with the SmartPath to Ingenia Elition X upgrade,” he says. “There are many difficulties in installing a new system, and we think this upgrade of our 8-year-old system provided us numerous benefits. The Elition gradients have been a real game-changer for us, significantly shortening scan times and increasing image quality and clinical utility. “The SmartPath option that made the Elition acquisition possible limited both our downtime and our costs.” “The SmartPath to Ingenia Elition X has reduced both our downtime and our costs,” he concludes. “Hospitals currently using Ingenia 3.0T should definitely consider SmartPath to Elition X. It offers numerous advantages when accounting for the economic aspects of hospitals and the services they provide to patients.”

Results at this facility are not predictive of results in other cases. Results in other cases may vary.

It took just 10 days for a radiology practice in Germany to upgrade their MRI scanner without the hassle of magnet replacement to a completely different look and the latest functionality.

In MRI, the multitasking technologists are key to a successful high quality service and are critically valued by patients and referrers. Specific pain points emphasize the need for new approaches.

At neurology clinic Fondation Rothschild in Paris, acquiring two Ingenia Elition 3.0T allowed the team to shorten scan times to create more time for advanced neuro scans, which helped to boost diagnostic confidence.
© 2022 Koninklijke Philips N.V. All rights reserved. Specifications are subject to change without notice. Trademarks are the property of Koninklijke Philips N.V. (Royal Philips) or their respective owners. www.philips.com

How to reach us? Please visit www.philips.com/healthcare
You are about to visit a Philips global content page
Continue