Due to an aging population as well as increases in obesity and sports activity, joint surgeries are on the rise. Perform a wide variety of tasks, such as assessment and reconstruction, thanks to the orthopedics application suite on IntelliSpace Portal. The tools are designed for even the most challenging musculoskeletal cases.
Take a closer look at cases involving bone and cartilage. CT Acute MultiFunctional Review, for example, includes an MSK and surgical planning stage. CT Bone Mineral Analysis, previously only available on Philips Extended Brilliance Workspace, helps you track and manage degenerative and metabolic bone diseases.
One application for the assessment of selected anatomies
CT Acute MultiFunctional Review (AMFR) provides dedicated tools for findings detection, visualization and assessment of vessels, bones and spine anatomies in 2D and 3D CT images.

Benefits
Track degenerative and metabolic bone disease
CT Bone Mineral Analysis (BMA) is designed to measure bone density in one or multiple time points. Using an internal reference method*, the application reduces reproducibility errors in multiple time point measurements and provides T- and Z- scores which help physicians assess the risk of osteoporosis.

Benefits
*Muller DK, et al., Phantom-less QCT BMD system as screening tool for osteoporosis without additional radiation. Eur J Radiol. 2011; 79(3):375–81.
Review spectral data in a range of not spectral-enhanced CT applications
Allows retrospective use of spectral data that was saved in a series of spectral base images (SBI). The fast launch of LMG allows review and identification of the most relevant results to be launched into the application for further analysis.

Benefits
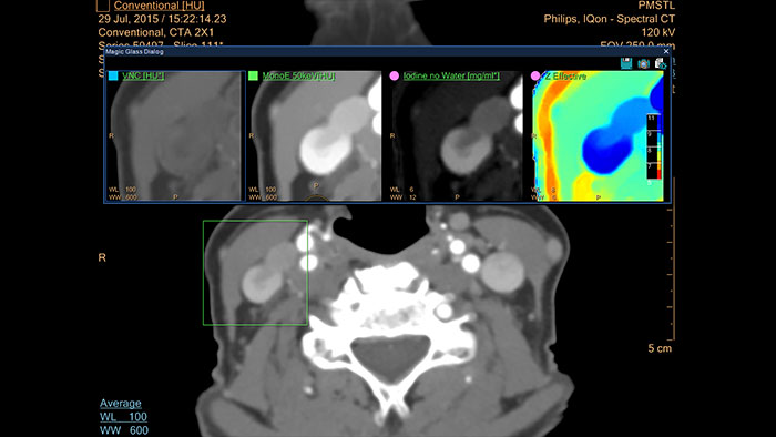
IQon Spectral CT Functionality
IQon Spectral CT is the only scanner to offer CT Spectral Light Magic Glass and CT Spectral Magic Glass on PACS, helping radiologists review and analyze multiple layers of spectral data at once, including on their PACS.

Benefits
* Standard with the CT Spectral option on IntelliSpace Portal.
IQon Spectral CT* Functionality
The spectral viewer is optimized for analysis of spectral data sets from the IQon Spectral CT Scanner. Obtain a comprehensive overview of each patient quickly and easily, quantify quickly, and assist in diagnosis. It is designed to accommodate general spectral viewing needs with additional tools to assist in CT images analysis.

Benefits
* IQon CT reconstruction provides a single DICOM entity containing sufficient information for retrospective analysis - Spectral Base Image (SBI). SBI contains all the spectrum of spectral results with no need for additional reconstruction or post-processing. Spectral applications are creating different spectral results from SBI.
Streamlined modeling workflow
Allows to view volumetric images of anatomical structures, perform segmentation, edit and combine segmented elements (tissues) into a 3D model.

Benefits
*3D models are not intended for diagnostic use.
Visualize cartilage structures
Enables the visualization of cartilage structures integrated with color-coded T2 maps. Positioning of cartilage-shaped, layered region of interest is used to assess variation of T2 values across the cartilage depth to determine the degradation of the cartilage.

Benefits
Optimizing image contrasts for multi-echo MR data
MR Echo Accumulation is used to perform pixelwise echo accumulations for imaging series with multiple echoes. MR Echo Accumulation enables the calculation of new images based on the selected sum of echo times of series with multiple echoes. The processing provides interactive update of the results.

Benefits
You are about to visit a Philips global content page
Continue